La Sindrome dell’Ovaio Policistico (PCOS) è una delle principali cause di infertilità femminile, ma grazie ai progressi della medicina riproduttiva, oggi esistono molteplici strategie per affrontarla con successo. Ne parliamo con il dottor Giovanni Puglia, ginecologo e fisiopatologo della riproduzione, esperto in fertilità e Procreazione Medicalmente Assistita (PMA), che opera tra Roma, Pomezia e Ladispoli.
Dottor Puglia, partiamo dalle basi: cos’è esattamente la Sindrome dell’Ovaio Policistico?
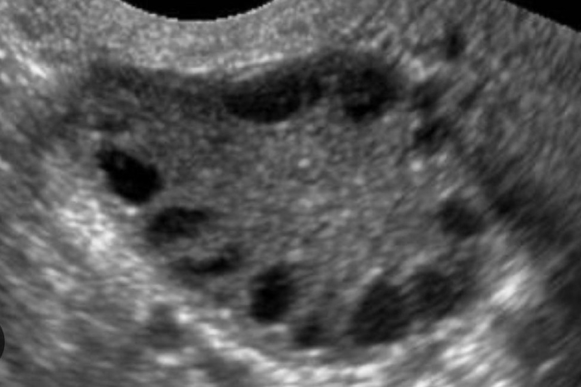
La Sindrome dell’Ovaio Policistico, o PCOS, è un disturbo endocrino complesso che colpisce circa il 5-10% delle donne in età fertile. È caratterizzata da tre elementi principali: disfunzione ovulatoria, iperandrogenismo e ovaie policistiche visibili all’ecografia. Non tutte le donne presentano tutti e tre questi aspetti, motivo per cui la diagnosi si basa sui criteri di Rotterdam, secondo i quali ne bastano due su tre. Ciò che rende questa sindrome particolarmente rilevante in ambito riproduttivo è l’impatto diretto sull’ovulazione, spesso assente o irregolare, che può rendere difficile ottenere una gravidanza.
Qual è il meccanismo principale attraverso cui la PCOS influisce sulla fertilità?
Il problema centrale è la disfunzione ovulatoria. Normalmente, l’equilibrio tra gli ormoni ipofisari FSH e LH regola la maturazione follicolare e l’ovulazione. Nelle donne con PCOS, assistiamo a un aumento relativo di LH rispetto a FSH, che porta a una maturazione follicolare incompleta. I follicoli rimangono bloccati in una fase precoce, senza arrivare all’ovulazione. Questo causa cicli anovulatori, uno dei principali ostacoli al concepimento.
Inoltre, il tessuto ovarico produce una quantità eccessiva di androgeni, come il testosterone, che interferiscono ulteriormente con il processo ovulatorio e contribuiscono ai sintomi clinici della sindrome, come irsutismo, acne e alopecia androgenetica.
Si parla spesso anche di insulino-resistenza nelle donne con PCOS. In che modo questo fattore incide sulla fertilità?
È un aspetto fondamentale! Circa il 60-70% delle donne con PCOS presenta insulino-resistenza, spesso accompagnata da iperinsulinemia compensatoria. L’eccesso di insulina stimola direttamente la produzione ovarica di androgeni e riduce la sintesi epatica della SHBG (sex hormone-binding globulin), aumentando i livelli di testosterone libero.
Questo crea un ambiente endocrino sfavorevole, non solo per l’ovulazione, ma anche per l’impianto embrionale. Ecco perché, nella pratica clinica, è importante non solo indurre l’ovulazione, ma anche affrontare i disordini metabolici sottostanti.
Come viene diagnosticata la PCOS in un contesto di infertilità?
La diagnosi si basa su una combinazione di esami clinici, ecografici e di laboratorio. Un’ecografia transvaginale è essenziale per valutare il volume ovarico e il conteggio dei follicoli antrali (AFC), mentre il profilo ormonale basale ci aiuta a identificare eventuali squilibri di LH, FSH, estradiolo, prolattina, testosterone e DHEA-S.
Spesso includo anche una valutazione metabolica completa, con l’indice HOMA-IR per l’insulino-resistenza, oltre a glicemia, insulinemia e lipidogramma. È importante avere un quadro completo, perché trattare solo l’aspetto ovulatorio senza affrontare i fattori metabolici significa avere meno probabilità di successo a lungo termine.
Parliamo delle strategie terapeutiche: come si affronta la PCOS per migliorare la fertilità?
L’approccio terapeutico deve essere personalizzato. Inizio sempre con le modifiche dello stile di vita: una perdita di peso del 5-10% può ripristinare l’ovulazione spontanea in molte donne con PCOS, migliorando i parametri metabolici e ormonali. Anche l’integrazione di myo-inositolo, spesso associato al D-chiro-inositolo, ha dimostrato di migliorare la qualità ovocitaria e l’ovulazione, senza effetti collaterali significativi.
Se il cambiamento dello stile di vita non è sufficiente, passiamo all’induzione farmacologica dell’ovulazione.
- Clomifene citrato: È stato il trattamento di prima linea per decenni, con un tasso di ovulazione del 70-80%. Tuttavia, non è sempre efficace, soprattutto nelle donne con resistenza al clomifene.
- Letrozolo: Sta guadagnando sempre più spazio come alternativa al clomifene, perché offre tassi di ovulazione e gravidanza superiori, soprattutto nelle pazienti con PCOS.
- Gonadotropine: Nei casi di resistenza agli induttori orali, utilizziamo gonadotropine a basse dosi, monitorando attentamente la crescita follicolare per evitare il rischio di iperstimolazione ovarica (OHSS).
La metformina è spesso citata in relazione alla PCOS. Qual è il suo ruolo nel trattamento dell’infertilità?
La metformina è particolarmente utile nelle donne con PCOS e insulino-resistenza documentata o BMI elevato. Migliorando la sensibilità all’insulina, non solo aiuta a ridurre i livelli di androgeni, ma aumenta anche i tassi di ovulazione. Nella mia pratica, spesso associo la metformina all’induzione dell’ovulazione, ottenendo risultati migliori rispetto al solo clomifene o letrozolo.
E quando l’induzione dell’ovulazione non funziona? Qual è il passo successivo?
Se i trattamenti di prima linea non portano al concepimento, la Procreazione Medicalmente Assistita (PMA) rappresenta l’opzione più efficace. La fecondazione in vitro (FIVET) è particolarmente indicata nelle donne con PCOS, ma richiede protocolli di stimolazione ovarica controllata per ridurre il rischio di OHSS.
Utilizziamo spesso protocolli con antagonisti del GnRH, oppure strategie di “mild IVF”, con dosaggi ormonali più bassi, per ottenere un buon numero di ovociti maturi senza iperstimolazione.
Quali sono i rischi in gravidanza per le donne con PCOS?
Le donne con PCOS hanno un rischio aumentato di aborto spontaneo, diabete gestazionale, ipertensione gravidica e parto pretermine. Tuttavia, con un attento monitoraggio metabolico e ostetrico, possiamo ridurre significativamente questi rischi. È fondamentale seguire la paziente lungo tutto il percorso, dalla fase pre-concezionale fino al post-partum.
In conclusione, dottor Puglia, qual è il messaggio principale per le donne con PCOS che desiderano una gravidanza?
Il messaggio chiave è che la PCOS, pur essendo una delle cause più comuni di infertilità femminile, è anche una delle più trattabili. Con un approccio personalizzato, che combini modifiche dello stile di vita, trattamenti farmacologici mirati e, quando necessario, tecniche di PMA, è possibile ottenere ottimi risultati.
a chiave del successo sta non solo nel ripristinare l’ovulazione, ma anche nel prendersi cura della salute metabolica e ormonale della paziente a lungo termine
